Advertisement intended for health care professionals

l

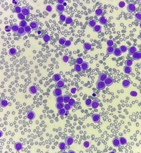
Acute monocytic leukemia

Acute monocytic leukemia
#00066317
Author: Dr. Madhura Jogwar; Dr. Sumitha Baskaran; Metropolis Healthcare Ltd
Category: Myeloid Neoplasms and acute leukemia (WHO 2016) > Acute Myeloid Leukemia > AML not otherwise specified > Acute monoblastic/monocytic leukemia
Published Date: 03/20/2026

Acute myeloid leukemia with KMT2A::MLLT3 and monocytic differentiation.

Advertisement intended for health care professionals