Advertisement intended for health care professionals

l

H&E Staining Sulfur granule

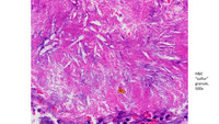
H&E Staining Sulfur granule
#00066412
Author: Soorih Shaikh, MBBS
Category: Laboratory Hematology > Body fluids:  abnormal cells and microorganisms with cross-references to specific diagnoses when appropriate > Bacteria in body fluids
Published Date: 04/16/2026

Patient presented with peritoneal nodules, that was biopsied and confirmed Actinonomycosis.


Advertisement intended for health care professionals