Advertisement intended for health care professionals

l

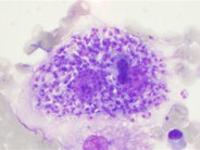
Leishmaniasis

Leishmaniasis
#00007577
Author: Gustavo Henrique Magalhães
Category: Laboratory Hematology > Non-hematopoietic malignancies involving the blood or bone marrow
Published Date: 11/25/2011

Reticular cell markedly increased and packed with Leishmania sp.

Advertisement intended for health care professionals