Advertisement intended for health care professionals

l

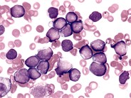
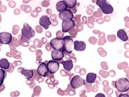
Pediatric Pre-B ALL

Author: Peter Maslak, 03/14/2005
Category: Myeloid Neoplasms and acute leukemia (WHO 2016) > Precursor Lymphoid Neoplasms
Published Date: 03/14/2005

Advertisement intended for health care professionals