Advertisement intended for health care professionals

l

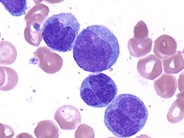
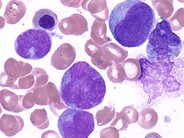
CMMoL

Author: Peter Maslak, 05/23/2005
Category: Myeloid Neoplasms and acute leukemia (WHO 2016) > Myelodysplastic/myeloproliferative neoplasms (MDS/MPN) > Chronic Myelomonocytic Leukemia
Published Date: 05/23/2005

Advertisement intended for health care professionals