Advertisement intended for health care professionals

l

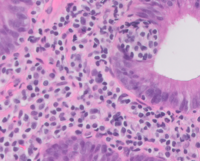
MALT/Extra-Nodal Marginal Zone Lymphoma

Author: Amandeep Kaur, MD,MBBS, 07/02/2019
Category: Lymphoma: Mature B-cell and Plasma cell Neoplasms > Low-grade B-cell lymphoma > Extranodal Marginal Zone Lymphoma of the mucosa-associated lymphoid tissue (MALT lymphoma)
Published Date: 07/14/2019

This is a 60 year old male who presented with rectal bleeding.  The sigmoid colon and gastric biopsy showed dense lymphoplasmacytic infiltrate with epithelial involvement. These cells were positive for CD20, CD43 and Bcl2 consistent with diagnosis of extra-nodal marginal zone lymphoma.

Advertisement intended for health care professionals