Advertisement intended for health care professionals

l

Castleman disease with unusual osseous metaplasia

Author: Vinoth Kumar G, MD, 09/30/2020
Category: Lymph Node and Spleen: Reactive/infectious > Reactive nodal processes > Unicentric Castleman disease
Published Date: 11/21/2020

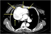
A 54-year-old female presented with history of a dry cough for the last 3 months. She has no history of breathlessness, chest pain, or fever. A CT of the thorax showed a large, intensely enhancing anterior mediastinal mass suspected to be mediastinal paraganglioma or thymoma by radiology.

The patient underwent excision of the same mass, weighing 400 grams and measuring 16 cm in largest diameter. Gross and microscopic images are depicted.

In addition, immunohistochemistry was performed. CD20 stains the follicles. CD3 stains the interfollicular region. Scattered few pancytokeratin positive cells were present in the interfollicular region. Scattered few Tdt positive lymphoid cells are present.

Castleman’s disease (CD) is a benign lymphoproliferative disorder. It has two types: unicentric and multicentric. The cause of the disease is currently unclear. There is an association of HHV-8 in development of multicentric CD. Osseous metaplasia is very rare. Among hematologic malignancies, amyloid-producing dyscrasia and diffuse large B-cell lymphoma were reported to produce heterotopic bony tissue. Two theories for this phenomenon are proposed: (i) tumor cells directly differentiate into osteoblasts, or (ii) tumor cells secrete substances which induce osteoblastic differentiation in adjacent mesenchymal cells. The cause for osseous metaplasia in Castleman disease is unknown. Unicentric Castleman disease (UCD) has good prognosis. Surgery is typically considered curative (1).

Reference:

1. Mokhtari M, Kumar PV. Osseous Metaplasia in Castleman's Disease: A Case Report. Case Rep Med. 2012;2012:674870. doi: 10.1155/2012/674870. Epub 2012 May 9. PMID: 22649457; PMCID: PMC3357547.

Advertisement intended for health care professionals