Advertisement intended for health care professionals

l

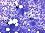
Dysplastic megakaryocytes

Author: Peter Maslak, 06/01/2010
Category: Platelet and Megakaryocyte Disorders
Published Date: 06/01/2010

Advertisement intended for health care professionals