Advertisement intended for health care professionals

Hairy cell Leukemia (HCL)

Author:  Mir B. Alikhan; Dilshad Daliwal, 04/19/2019
Category: Lymphoma: Mature B-cell and Plasma cell Neoplasms > Splenic lymphomas > Hairy Cell Leukemia
Published Date: 05/28/2021

The patient is a 59-year-old male who presented with chief complaints of fatigue and left upper quadrant abdominal pain. CT scan showed splenomegaly with spleen span of 26 cm.

 Complete blood count showed pancytopenia and a monocytopenia (<0.1 k/uL). Peripheral blood smear examination showed relative lymphocytosis with atypical lymphoid cells.

A bone marrow study was performed, which showed a diffuse infiltrate of atypical lymphoid cells. A diagnosis of Hairy Cell leukemia was made, and the patient has been started on 2-chlorodeoxyadenosine (2-CdA) and is doing well.

 

Learning points:

1.      Hairy cell Leukemia (HCL) is an indolent B cell malignancy involving spleen, peripheral blood and bone marrow. Classic cases present with pancytopenias including monocytopenia.

        Bone marrow has a charaterstic dry tap owing to massive fibrosis, as fibrogenic growth factors are secreted by tumour cells in the marrow.

        Spleen is massively enlarged with leukemic cells charaterstically infiltrating the red pulp.

 

2.      Almost all hairy cell leukemia cases harbor the BRAF V600E mutation. Rare BRAF negative cases use the IGHV4-34.

 

3.     Immunophenotyping reveals a neoplastic B cell population showing a bright CD20 alongwith aberrant expression of CD11c, CD25, CD103.

4.      Annexin A1 is the most specific immunohistochemical marker for HCL, although TRAP and CD123 are often also positive. CD22 is uniformly bright.

5. HCL-v (Variant) often presents with Normal or increased blood counts, no monocytopenia, cells with prominent nucleoli and an aggressive course. 

6. Treatment includes Cladribine and Pentostatin (Purine analogs), recently INF-alpha and a BRAF inhibitor- Vemurafenib have been tried and have proved efficacious in relapsed and refractory cases. More recently, immunotoxins such as moxetumomab Pasudotox (anti-CD22) are showing promising results.

Figure 1: Peripheral blood findings

There is lymphocytosis with atypical cells. These are characterized by intermediate-sized cells with oval and slightly irregular indented nuclei, referred to as reniform or kidney bean appearance. There is a moderate amount of cytoplasm that often shows circumferential hairy projections. Notably, monocytes are nearly absent.

HCL-Peripheral-blood
#00062314
 
Figure 2: Bone marrow H&E

Bone marrow biopsy shows a hypercellular marrow infiltrated by small lymphoid cells with oval nuclei and abundant pale cytoplasm, imparting a “fried-egg” appearance. 

HCL-Bone-marrow-HE
#00062312
 
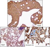
Figure 3: Bone marrow immunostains

Immunohistochemical stains on the core biopsy showed increased CD20+ B-cells with co-expression of TRAP (tartrate-resistant acid phosphatase) and Annexin A1. The latter is most sensitive and specific for hairy cell leukemia amongst other B-cell lymphomas. However, the marker is strongly positive in granulocytes, necessitating comparison with CD20 when interpreting the stain.

HCL-Immunostains
#00062313
 
Figure 4: Flow cytometry

Flow analysis revealed a monotypic B-cell population showing expression of CD19, CD103, CD11c, and lambda light-chain. There is variable positivity for CD25. The neoplastic B cells are negative for CD5 and CD10.

Flow-cytometry-plots
#00062310
 
Flow-cytometry-plots
#00062311
 
Figure 5: Molecular studies

The peripheral blood smear was submitted to the molecular pathology lab to perform a melt-curve analysis for identification of BRAF V600E. Essentially all hairy cell leukemias harbor this missense mutation. This assay utilizes a FRET probe that takes advantage of the lower melting temperature of the DNA of mutated cases.

HCL-Molecular-findings
#00062315
 

Advertisement intended for health care professionals