Advertisement intended for health care professionals

Mycosis Fungoides Involving Peripheral Blood

Author:  Reva Channah Goldberg; James Godfrey; Girish Venkataraman, 07/22/2019
Category: Lymphoma: Mature T and NK cell lymphoproliferations > Cutaneous T-cell Lymphoma > Mycosis Fungoides
Published Date: 07/30/2019

The patient is a 60-year-old male who developed an itchy rash in 2010 that started in his hands and progressed to involve the majority of his body over the next few years. He underwent a skin biopsy in July 2016 that demonstrated findings consistent with Mycosis Fungoides.

He was initially recommended bexarotene but was finally treated with interferon and phototherapy in the end of 2016 with some response. However, two years later, he developed widespread recurrence of patches and plaques involving more than half of his body. In August 2018, staging evaluation revealed diffuse nodal disease and blood involvement.

Depicted below are clinical images showing extensive skin involvement, peripheral blood involved by Sezary cells, and flow cytometry plots showing the abnormal T-cell population.

CBC data

  • WBC ...........................11,200/uL
  • Hemoglobin ..................11.8 g/dL
  • Platelet.......................166,000/uL
  • Abs Lymphocyte count... 2570/uL

Learning points:

1. Blood involvement can occur in patients with Mycosis Fungoides and careful attention to circulating lymphocytes is necessary to identify the atypical lymphoid cells which show prominent clefting.

2. CD4:CD8 ratio >10; Loss of CD7 and/or CD26 in the CD4 T-cells are typical aberrancies.

Mycosis Fungoides Clinical Images

These clinical images show the plaques and patches invloving over half of the patient's body, specifically, the chest, back, and palm.

Mycosis-Fungoides-Clincal-Images
#00062472
 
Mycosis-Fungoides-Clincal-Images
#00062473
 
Mycosis-Fungoides-Clincal-Images
#00062471
 
Blood

The peripheral blood (on the left) demonstrates several scattered atypical lymphoid cells with convoluted nuclear contours compatible with Sezary cells.

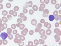
The peripheral blood (on the right) shows a normal lymphocyte to the bottom left and an abnormal Sezary cell to the top right.

Mycosis-Fungoides-Blood
#00062453
 
Mycosis-Fungoides-Blood
#00062454
 
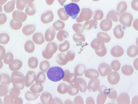
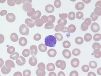
Blood 2

The peripheral blood (on the left) shows two abnormal Sezary cells.

The peripheral blood (on the right) shows a Sezary cell on the top left along with a reactive monocyte at the bottom right.

Mycosis-Fungoides-Blood
#00062455
 
Mycosis-Fungoides-Blood
#00062456
 
Flow plot gating strategy

The CD45 vs side scatter (plot on the left) demonstrates a large population of lymphocytes comprising 64% of all cells.

Further analysis using CD3 vs side scatter (plot on the right) on the right indicates that there are 61% CD3+ T-cells.

Mycosis-Fungoides-Blood
#00062462
 
Mycosis-Fungoides-Blood
#00062457
 
Flow Plots: CD4 vs. CD8

Further examination of the lymphocytes with CD4 and CD8 (plot on the left)demonstrates a large population of CD4 T-cells indicative of significantly skewed CD4:CD8 ratio >10:1. A minor population of normal T-cells is depicted in green, and a large abnormal population of CD4 T-cells is depicted in blue.

In the  CD4 vs side scatter (plot on the right), looking within the CD3+ T-cells indicates that the normal T-cells express moderate CD4 whereas the large population of abnormal T-cells express dim CD4 relative to these normal populations.

Mycosis-Fungoides-Blood
#00062458
 
Mycosis-Fungoides-Blood
#00062459
 
Flow Plots: CD7 and CD26 expression

The plot on the left shows abnormal CD4+ T-cell population is negative for CD7 whereas the normal T cells (green population) as well as normal CD8 T cells (including NK cells) are CD7+/CD4- (smaller cluster in blue).

The plot on the right shows that the abnormal CD4+ T cell population is negative for CD26.

Mycosis-Fungoides-Blood
#00062460
 
Mycosis-Fungoides-Blood
#00062461
 

Advertisement intended for health care professionals