Advertisement intended for health care professionals

Splenic Marginal Zone Lymphoma

Author:  Reva Goldberg; Megan Parilla; Dan Arber; Girish Venkataraman, 08/01/2019
Category: Lymphoma: Mature B-cell and Plasma cell Neoplasms > Splenic lymphomas > Splenic Marginal Zone Lymphoma
Published Date: 08/02/2019

The patient is a 74 year old woman with splenic marginal zone lymphoma who presented with symptomatic splenomegaly (21.0 cm) including abdominal discomfort, wieght loss, fatigue, and low grade fevers. She underwent a laproscopic splenectomy. The patient had splenomegaly since 2006 and was diagnosed with CLL/SLL vs FL and treated with 4 months of Rituximab therapy. A recent bone marrow biopsy revealed spenic marginal zone lymphoma in the bone marrow.

Depicted below are clinical images showing the enlarged spleen, peripheral blood, and the biopsy with various stains. 

CBC Data

  • WBC ...........................2.55  K/uL
  • Platelet ........................99.0  K/uL
  • Hemoglobin ..................11.0  g/dL
  • Abs Neutrophil Count ...150.0 K/uL

Learning Points:

  1. Extensive nodular architecture, white pulp invovlement and IgD expression in typical of splenic marginal zone lymphoma.
  2. Bone marrow involvement is typically sinusoidal in SMZL (there was involvement in this case with this pattern).
Figure 1: Peripheral Blood in Splenic Marginal Zone Lymphoma

Peripheral blood smear demonstrating scattered small lymphoid cells with scant basophilic cytoplasm, consistent with circulating lymphoma cells.

Splenic-Marginal-Zone-LymphomaBlood
#00062476
 
Figure 2: Macroscopic Image of Spleen in Splenic Marginal Zone Lymphoma

The clinical image of the spleen depicts the intact spleen with serial sectioning that reveals the surface diffusely involved by numerous tan nodules measuring less than .1 cm up to .3 cm involving the entire splenic parenchyma.

Splenic-Marginal-Zone-LymphomaBlood
#00062474
 
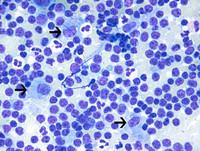
Figure 3: Touch Preparations for Splenic Marginal Zone Lymphoma

The touch preparations of the spleen show small lymphoid cells with clumped nuclear chromatin, scant to moderate light blue cytoplasm, and scattered histiocytes (indicated by the arrows in the image on the left). 

In the higer power image (on the right) there is also a mitosis visible. 

Splenic-Marginal-Zone-LymphomaTouch-Preperation
#00062496
 
Splenic-Marginal-Zone-LymphomaTouch-Preperation
#00062495
 
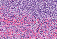
Figure 4: H&E Images of Histology in Splenic Marginal Zone Lymphoma

Whole slide scanned image (pictured on the upper left) demonstrating multiple nodules throughout the splenic parenchyma.

At medium power (pictured on the upper right), the nodules comprise markedly expanded white pulp areas.

At higher power (pictured on the lower left) at the interface of the white pulp and red pulp, the nodular areas of the white pulp comprised monotonous small lymphoid cells with monocytoid cytomorphology. Note that the red pulp at the bottom is relatively uninvolved.

Splenic-Marginal-Zone-LymphomaBlood
#00062482
 
Splenic-Marginal-Zone-LymphomaSpleen
#00062483
 
Splenic-Marginal-Zone-LymphomaHE
#00062484
 
Figure 5: CD20 in Splenic Marginal Zone Lymphoma

The lymphoma nodules are strongly positive for CD20, confirming B-cell origin. Also, on CD20, increased numbers of lymphoma cells infiltrating the red pulp are also noted.

Splenic-Marginal-Zone-LymphomaBlood
#00062479
 
Figure 6: CD5 and CD10 in Splenic Marginal Zone Lymphoma

The lymphoma cells (pictured on the left) are negative for CD5.

The lymphoma cells (pictured on the right) are also negative for CD10.

Splenic-Marginal-Zone-LymphomaBlood
#00062477
 
Splenic-Marginal-Zone-LymphomaSpleen
#00062478
 
Figure 7: CD43 and BCL-2 in Splenic Marginal Zone Lymphoma

The lymphoma cells are negative for CD43 (pictured on the left) with variable weak BCL-2 expression (pictured on the right). However both CD43 and BCL-2 highlight background T cells.

Splenic-Marginal-Zone-LymphomaBlood
#00062481
 
Splenic-Marginal-Zone-LymphomaSpleen
#00062475
 
Figure 8: IgG and CD21 in Splenic Marginal Zone Lymphoma

The lymphoma cells are positive for IgD (pictured on the left). Most marginal zone lymphoma of splenic origin (as compared to nodal marginal zone lymphoma) are more likely to be positive for IgD.

CD21 immunostain (pictured on the right) highlights markedly expanded and tight follicular dendritic cell meshworks within the lymphoma nodules.

Splenic-Marginal-Zone-LymphomaBlood
#00062485
 
Splenic-Marginal-Zone-LymphomaSpleen
#00062480
 

Advertisement intended for health care professionals