Advertisement intended for health care professionals

Cat Scratch Disease

Author:  Reva Channah Goldberg; Megan Parilla; Girish Venkataraman, MD, MBBS, 08/05/2019
Category: Lymph Node and Spleen: Reactive/infectious > Infectious processes > Granulomatous, Necrotizing > Cat Scratch Disease
Published Date: 08/05/2019

The patient is a 7-year-old boy who has lymphadenopathy with Bartonella Henselae infection and is undergoing excisional lymph node biopsy after a single node did not respond to antibiotic therapy. 

Learning Points:

1. Extensive necrotizing lymphadenitis in a younger patient may be caused by cat scratch disease.

2. Stellate granulomas and silver stain for gram-negative organisms as well as serology for Bartonella will help in making the correct diagnosis.

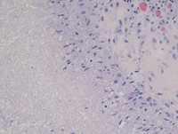
Figure 1-H&E Low Power

Low power images showing multiple stellate granulomas replacing most of the lymph node architecture.

Cat-Scratch-DiseaseHE-Low-Power
#00062517
 
Cat-Scratch-DiseaseHE-Low-Power
#00062516
 
Figure 2-H&E Intermediate Power

The central areas demonstrate extensive necrosis with peripheral rimming by stellate histiocytes.

Cat-Scratch-DiseaseHE-Intermediate-Power
#00062518
 
Cat-Scratch-DiseaseHE-Intermediate-Power
#00062522
 
Cat-Scratch-DiseaseHE-Intermediate-Power
#00062520
 
Cat-Scratch-DiseaseHE-Intermediate-Power
#00062519
 
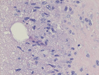
Figure 3-H&E High Power

The necrotic areas are largely acellular without any neutrophilic infiltrate.

Cat-Scratch-DiseaseHE-High-Power
#00062521
 
Cat-Scratch-DiseaseHE-High-Power
#00062523
 
Figure 4-Steiner

Rare gram-negative organisms consistent with Bartonella spp. are noted.

Cat-Scratch-DiseaseSteiner
#00062524
 

Advertisement intended for health care professionals