Advertisement intended for health care professionals

Sinus Histiocytosis with Massive Lymphadenopathy (SHML)

Author:  Reva Channah Goldberg; Elizabeth Hyjek; Girish Venkataraman, MD, MBBS; Justin Kline, 08/05/2019
Category: Macrophage/Histiocytic and dendritic cell Neoplasms and disorders (2015) > R group > Sporadic RDD
Published Date: 08/05/2019

The patient is a 37-yrs-old female with hx ofdiabetespresenting with left neck swelling for the past 2 weeks. Her symptoms started 2 weeks prior to presentation with left neck pain. Over the past 2 days her pain worsened and was accompanied by left neck swelling. She also has worsening pain and difficulty breathing when she lies on her left side. She endorses odynophagia and sore throat as wellas a non-productive cough which started the day prior to admission. No rash or contact with sick patients. CT soft tissue neck showed enlarged and necrotic left cervical lymph nodes and myositis favoring infection over malignancy. ENT evaluated and recommended admission to gens for empiric antibiotic therapy. CRP elevated 88 ng/L and ESR is high at 43 mm/Hr. The patient is undergoing biopsy of enlarging left neck mass.

The biopsy below shows typical features of Rosai Dorfman Disease (RDD), also called Sinus histiocytosis with massive lymphadenopathy (SHML). The patient was asymptomatic otherwise and hence was only observed after the biopsy.

Learning points:

  1. RDD histiocytes are typically large and polygonal with single small distinctive nucleoli and ample cytoplasm.
  2. They express S100, not positive in normal histiocytes.
Figure 1: CT neck

CT neck showing a large left posterior neck mass involving several lymph nodes.

SHMLCT-neck
#00062525
 
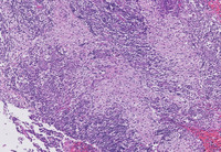
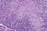
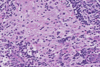
Figure 1-H&E

The low power H&E image demonstrates multifocal pale eosinophilic areas and higher power demonstrates that these pale areas comprise accumulations of large bland histiocytes with abundant pale eosinophilic cytoplasm with intermingled lymphocytes and plasma cells.  Higher power demonstrates that these histiocytes have small but distinct nucleoli.

SHMLHE-Low-Power
#00062530
 
SHMLHE-Intermediate-Power
#00062531
 
SHMLHE-High-Power
#00062532
 
SHMLHE-High-Power
#00062533
 
Figure 2-CD3, CD20 & CD138

CD3 immunostain (top left) highlights numerous background T cells.  However, Rosai-Dorfman lesions frequently contain excess of CD20 positive B cells (top right).  There is prominent plasmacytosis noted on the CD138 immunostain depicted on the bottom left.  Frequently, there is excess of IgG4 positive plasma cells and Rosai-Dorfman lesions.  However, in this case IgG4 positive plasma cells were not increased.

SHMLCD3
#00062527
 
SHMLCD20
#00062528
 
SHMLCD138
#00062529
 
Figure 3-CD1a

CD1a, a marker of Langerhans cells is negative.  This allows exclusion of Langerhans' cell histiocytosis.

SHMLCD1a
#00062526
 
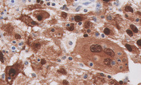
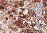
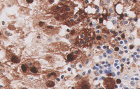
Figure 4-S100

The Rosai-Dorfman histiocytes are strongly positive for S100 with nuclear and cytoplasmic staining.  On higher power, emperipolesis with lymphocytes present in the cytoplasm of these histiocytes is apparent.  Emperipolesis is characteristic features in this disease.

SHMLS100
#00062535
 
SHMLS100
#00062536
 
SHMLS100
#00062534
 

Advertisement intended for health care professionals