Advertisement intended for health care professionals

Refractory Cytopenia of Childhood

Author:  Sandeep Gurbuxani; Angela Lager; Michelle Nassin; Gabrielle Laping-Carr; Jennifer Miller; Girish Venkataraman, 08/05/2019
Category: Myeloid Neoplasms and acute leukemia (WHO 2016) > Myelodysplastic Syndromes (MDS) > Refractory cytopenia of childhood (provisional)
Published Date: 08/05/2019

This is a 7-year-old boy who was born at 31 weeks of gestation with severe intrauterine growth retardation.  There was evidence of short stature at birth and CBC performed prior to initiation of growth hormone at 3 years of age noted isolated macrocytosis (MCV 101.1 fL).  However, after 2 years of therapy, the boy was admitted with fevers at this time, there was absolute neutropenia.  Vitamin B6 and vitamin B12 levels were normal.  Bone marrow biopsy was performed at the time.  The patient was also noted to have undescended testis.

CBC data at 5 years of age:

WBC =3400/mcL
Absolute neutrophil count = 374/mcL
Hemoglobin = 12.4 g/dL
Mean corpuscular volume =101 fL
Platelet count =81,000/mcL


The bone marrow biopsy depicted below shows hypocellular marrow with dysplastic megakaryocytes and megaloblastoid erythroid precursors with <2% circulating blasts and <5% bone marrow blasts with evidence of clonal monosomy 7.  The findings are typical of Refractory Cytopenia of Childhood (RCC; childhood MDS).  

Additional next generation sequencing studies on the bone marrow aspirate demonstrated pathogenic RUNX1 and EZH2 mutations.  Additional germline testing identified variants of uncertain significancer (VOUS) in SAMD9, SLX4 and SRP72 genes.

Learning points:

1.  The presence of <2% circulating blasts and <5% bone marrow blasts coupled with dysplastic megakaryocytes and clusters of immature erythroid precursors in a hypocellular marrow support classification RCC

2.  In children, neutropenia and thrombocytopenia with hypocelllarity is common whereas adults present with isolated anemia and hypercellular biopsies. Cases with 5-19% marrow blasts in children do not exhibit prognostic differences between cases with <10% and 10-20% blasts, as in adults.

3.  In RCC, patients with monosomy 7 (as seen in this case) have a higher probability of progression.

4.  A small but significant proportion of patients have underlying germline mutations related to bone marrow failure disorders.

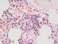
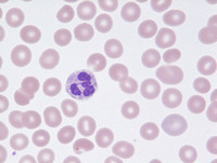
Peripheral blood

Examination of the peripheral blood shows scattered reactive lymphocytes and monocytes while high-power shows only rare unremarkable neutrophils without circulating blasts.

Refractory-Cytopenia-of-Childhood
#00062546
 
Refractory-Cytopenia-of-Childhood
#00062547
 
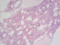
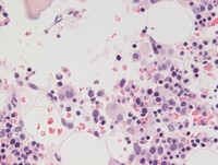
Bone core biopsy

Low power showing hypocellular marrow.  Higher power demonstrates clusters of immature erythroid precursors in the center.  The bottom 2 images depict scattered dysplastic megakaryocytes with widely separated nuclear lobes.

Refractory-Cytopenia-of-Childhood
#00062542
 
Refractory-Cytopenia-of-Childhood
#00062545
 
Refractory-Cytopenia-of-Childhood
#00062544
 
Refractory-Cytopenia-of-Childhood
#00062543
 
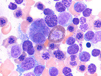
Aspirate smears of marrow

Bone marrow aspirate smear demonstrating dysplastic megakaryocytes on the left with 2 separate nuclear lobes while on the right side of the field to large immature pronormoblasts (erythroid precursors) are noted.  The image on the right and the bottom left show dysplastic megakaryocytes and megaloblastoid erythroid precursors. A large eosinophilic myelocyte is also seen in the center of the field on the image in the bottom left.

Refractory-Cytopenia-of-Childhood
#00062541
 
Refractory-Cytopenia-of-Childhood
#00062539
 
Refractory-Cytopenia-of-Childhood
#00062540
 
Cytogenetic studies

Karyotype demonstrates monosomy 7, confirmed on FISH studies with centromeric probe for chromosome 7

Refractory-Cytopenia-of-Childhood
#00062537
 
Refractory-Cytopenia-of-Childhood
#00062538
 

Advertisement intended for health care professionals