Advertisement intended for health care professionals

Plasmacytoma-Like PTLD, EBV+

Author:  Reva Goldberg; Girish Venkataraman, MD, MBBS; Charles Van Slambouck; James Vardiman; Aliya Noor Husain; Pu Yonglin; Kenneth Cohen, 08/13/2019
Category: Lymphoma: Post-transplant Lymphoproliferative Disorder > Monomorphic Post-transplant Lymphoproliferative Disorder > B-cell Neoplasms > Plasmacytoma
Published Date: 08/21/2019

The patient is a 68-year-old female who underwent a right single lung transplant for COPD, 10 years prior to presentation with ascites and small bowel obstruction undergoing laparoscopic small bowel resection during which time an incidentally found mass was identified.

The histology of the mass revealed monomorphic B-cell post transplant lymphoproliferative disorder (PTLD), the rare EBV-positive plasmacytoma like subtype. In this patient, due to the lack of CD20, treatment with anti-–CD30 antibody (brentuximab vedotin) was considered.

Learning points:

  1. Although diffuse large B-cell lymphoma is the most common cytomorphology, other rare subtypes including Burkitt lymphoma, plasmacytoma, and plasma cell myeloma are also recognized besides the more recently recognized EBV positive MALT lymphoma monomorphic subtype of PTLD.
  2. EBV positive B-cell PTLD's typically occur early after transplantation but the MALT lymphoma subtype is distinctive since it occurs late after transplantation with solitary cutaneous/subcutaneous presentation.
WHO 2016 Classification of PTLD

The table below depicts the most recent WHO 2016 classification on PTLD.

PlasmacytomaLike-PTLD-EBV-Pet-Scan
#00062688
 
Figure 1: PET and CT Scans in Plasmacytoma-Like PTLD, EBV+

The image on the top left shows hypermetabolic foci within the abdomen corresponding to multiple bowel loops. In addition, there were several hypermetabolic foci within the abdominal wall, right pelvis, and left lower pelvis.

The image on the top right shows hypermetabolic anterior mediastinal conglomerate lymph node mass with central necrosis.

The CT at the bottom left additionally shows the mediastinal involvement.

PlasmacytomaLike-PTLD-EBV-Pet-Scan
#00062595
 
PlasmacytomaLike-PTLD-EBV-Pet-Scan
#00062597
 
PlasmacytomaLike-PTLD-EBV-CT-Scan
#00062596
 
Figure 2: H&E Low Power in Plasmacytoma-Like PTLD, EBV+

The image on the left shows low power of the entire bowel wall with normal small bowel mucosa on the top with extensive infiltration of the muscularis propria and submucosa by a sheetlike infiltrate of neoplastic cells.

The image on the right shows the neoplastic cells at higher power present in sheets percolating in between the fibers of the muscularis propria.

PlasmacytomaLike-PTLD-EBV-Pet-Scan
#00062605
 
PlasmacytomaLike-PTLD-EBV-Pet-Scan
#00062606
 
Figure 3: H&E High Power in Plasmacytoma-Like PTLD, EBV+

These higher power images depict the infiltrate percolating and destroying the muscularis propria.

The high magnification on the right side shows classic plasmacytic cytomorphology. Note that the neoplastic cells do not exhibit morphology compatible with centroblasts (as in DLBCL) or plasmablasts (plasmablastic lymphoma), both of which may also be EBV positive.

PlasmacytomaLike-PTLD-EBV-Pet-Scan
#00062607
 
PlasmacytomaLike-PTLD-EBV-Pet-Scan
#00062608
 
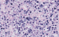
Figure 4: Touch Preperation in Plasmacytoma-Like PTLD, EBV+

Touch preparations demonstrate scattered plasma cells within the lesion.

PlasmacytomaLike-PTLD-EBV-Pet-Scan
#00062612
 
FIgure 5: CD20 & CD3 in Plasmacytoma-Like PTLD, EBV+

CD20 (on the left) is negative in the neoplastic cells. Rare CD20 positive small B-cells are seen within the infiltrate.

CD3 (on the right) shows scattered T-cells.

PlasmacytomaLike-PTLD-EBV-Pet-Scan
#00062599
 
PlasmacytomaLike-PTLD-EBV-Pet-Scan
#00062598
 
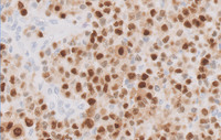
Figure 6: CD79a & MUM1 in Plasmacytoma-Like PTLD, EBV+

Both CD79a (B-cell/plasmacytic marker on the left) as well as MUM1 (plasmacytic marker on the right) are strongly positive confirming plasmacytic differentiation.

PlasmacytomaLike-PTLD-EBV-Pet-Scan
#00062602
 
PlasmacytomaLike-PTLD-EBV-Pet-Scan
#00062611
 
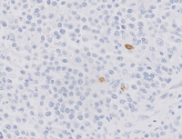
Figure 7: CD30 & CD56 in Plasmacytoma-Like PTLD, EBV+

A significant proportion of the neoplastic cells are positive for CD30 (pictured on the left) but negative for CD56 (on the right).

PlasmacytomaLike-PTLD-EBV-Pet-Scan
#00062600
 
PlasmacytomaLike-PTLD-EBV-Pet-Scan
#00062594
 
Figure 8: EBER in Plasmacytoma-Like PTLD, EBV+

The neoplastic cells are strongly positive for EBER as seen in this low magnification and high magnification.

PlasmacytomaLike-PTLD-EBV-Pet-Scan
#00062603
 
PlasmacytomaLike-PTLD-EBV-Pet-Scan
#00062604
 
Figure 9: Kappa & Lambda in Plasmacytoma-Like PTLD, EBV+

The infiltrate demonstrates kappa light chain restriction as noted on the left side in both images. Kappa light chain in situ hybridization is represented in the image on the left side. Also note that the normal small bowel mucosa pictured on the right side in both images demonstrates polytypic plasma cells as seen in both the stains on in situ hybridization.

PlasmacytomaLike-PTLD-EBV-Pet-Scan
#00062609
 
PlasmacytomaLike-PTLD-EBV-Pet-Scan
#00062610
 

Advertisement intended for health care professionals