Advertisement intended for health care professionals

HIV-related Primary Effusion Lymphoma, HHV8+/EBV+

Author:  Paul G. Rubinstein, M.D.; Amy Chadburn, MD.; Reva Channah Goldberg; Udit Yadav; Victoria Angelova-Alagiozian, 08/13/2019
Category: Lymphoma: Mature B-cell and Plasma cell Neoplasms > Virus-associated lymphoproliferations > Primary effusion lymphoma
Published Date: 08/13/2019

A 39-year-old Hispanic male presented with one week of increasing shortness of breath and enlarged lymph nodes in the neck. He had purple lesions on his shoulders which appeared a few months before the onset of the shortness of breath. On physical examination, his vitals were normal, he had palpable cervical, supraclavicular, axillary, inguinal lymph nodes. His skin showed multiple hard purple nodules. His rapid HIV test was positive with a low CD4 cell count of 129/uL.

CT chest showed patient had diffuse lymphadenopathy with moderate bilateral pleural effusion.The skin nodules were biopsied and showed Kaposi sarcoma (depicted below)

  The final diagnosis was primary effusion lymphoma (PEL) and Kaposi sarcoma. Patient was treated on an AIDS Malignancy Consortium (AMC) clinical trial with da-EPOCHR plus vorinostat, AMC 075. 

CBC Data:

  • WBC.......5.2 K/uL
  • Hgb.......10.7 g/dL
  • MCV.......86 fL
  • Platelets.......109 K/uL

Learning points:

  1. The case depicts a typical primary effusion lymphoma occuring in the setting of HIV. In this setting, these are near-universally positive for HHV8/KSHV/LANA-1 as depicted here.
  2. These lymphomas exhibit plasmablastic cytomorphology and may be aberrrantly CD3+. They are positive for EBV and HHV8 (similar to germinotropic LPD cases) in contrast to KSHV-related Multicentric Castleman disease (KSHV-MCD) which is usually positive only for HHV8 without EBV coinfection.
Figure 1: Clinical Image in Primary Effusion Lymphoma

Cutaneous violaceous nodules consistent with Kaposi sarcoma

Primary-Effusion-LymphomaClinical
#00062616
 
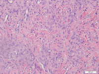
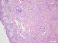
Figure 2: H&E in KS lesion

Histology of KS showing multiple dermal nodules of spindle-shaped proliferative vasoformative neoplasm.

Primary-Effusion-LymphomaHE
#00062618
 
Primary-Effusion-LymphomaHE
#00062620
 
Primary-Effusion-LymphomaHE-High-Power
#00062619
 
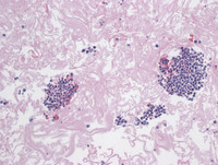
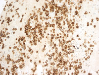
Figure 3: HHV8 in KS lesion

Nuclear staining for HHV8/KSHV/LANA-1 in the KS cells. Infection is universal in KS lesions and is central to the pathogenesis.

Primary-Effusion-LymphomaHHV8
#00062626
 
Primary-Effusion-LymphomaHHV8
#00062625
 
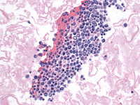
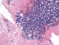
Figure 4: H&E in Primary Effusion Lymphoma

The H&E image of the cell block shows clusters of large atypical plasmacytic cells.

Primary-Effusion-LymphomaHE
#00062621
 
Primary-Effusion-LymphomaHE-Low-Power
#00062622
 
Primary-Effusion-LymphomaHE-Intermediate-Power
#00062623
 
Primary-Effusion-LymphomaHE-High-Power
#00062624
 
Figure 5: CD45 & CD30 in Primary Effusion Lymphoma

The large atypical cells are positive for CD45 (left) and for CD30 (low and high power; right and lower left). CD20 was negative.

Primary-Effusion-LymphomaCD45
#00062615
 
Primary-Effusion-LymphomaCD30
#00062613
 
Primary-Effusion-LymphomaCD30
#00062614
 
Figure 6: MUM1, Kappa, & Lambda in Primary Effusion Lymphoma

Additionally, they are positive for MUM1 (a plasmacytic marker) with suggestion of weak kappa light chain expression in some cells (lower left image) while lambda is negative.

Primary-Effusion-LymphomaMUM1
#00062630
 
Primary-Effusion-LymphomaMUM1
#00062631
 
Primary-Effusion-LymphomaKappa
#00062627
 
Primary-Effusion-LymphomaLambda
#00062628
 
Figure 7: EBER & LANA in Primary Effusion Lymphoma

Both EBER (left) and HHV8 (right) are positive in the lymphoma cells.

Primary-Effusion-LymphomaEBER
#00062617
 
Primary-Effusion-LymphomaLANA
#00062629
 

Advertisement intended for health care professionals