Advertisement intended for health care professionals

Paroxysmal Nocturnal Hemoglobinuria

Author:  Reva Goldberg; Girish Venkataraman, MD, MBBS; Benjamin Kaumeyer, MD; Dilshad Dhaliwal, MD, 08/15/2019
Category: Underproduction Anemias > Acquired aplastic anemia > PNH (clonal)
Published Date: 05/28/2021

Clinical History: This is a 66 year old woman with a history of type 2 diabetes, hepatitis C, and multiple cerebral vascular accidents. She had a longstanding history of a coombs positive hemolytic anemia. Her hemoglobin dropped to 5.7 during a recent hospital admission which was thought to be secondary to a viral infection. She was given IV steroids with some improvement in her blood counts. Her CBC is as follows:

WBC: 3.6 K/uL

Hgb: 9.3 g/dL

MCV: 101.5 fL

Plt: 172 K/uL

 

Flow cytometry (see below) was performed which identified a large paroxysmal nocturnal hemoglobinuria (PNH) clone. She was started on eculizumab (terminal complement inhibitor) with improvement of anemia over the next few weeks.

 

Learning points:

  1. Paroxysmal nocturnal hemoglobinuria is an acquired clonal hematopoietic stem cell disorder resulting from a somatic mutation of the PIGA gene which is located on chromosome X.  Inactivation of PIGA results in the inability of the cell to synthesize GPI anchor proteins.  These anchor proteins are necessary for CD55 and CD59 to bind to the cell membrane. CD55 and CD59 protect the cell from complement mediated hemolysis, and their absence in PNH makes red cells susceptible to compliment mediated hemolysis.

  2. FLAER- Flouroscent AERolysin is a flourochrome conjugated molecule that is a highly specific ligand for GPI on white blood cells. The absence of FLAER on WBCs helps identify PNH clone during flow cytometric analysis

  3. Patients with PNH often present with a normocytic, normochromic anemia, although the leading cause of death is actually complications related to intravascular thrombosis. In this patient, the PNH likely contributed to her multiple strokes.

  4. PNH clone in the bone marrow can give rise to devastating sequel such as MDS, aplastic anemia or Acute Myeloid leukemia (AML), owing to the pluripotent nature of the PNH clone.

  5. Eculizumab is a new humanized monoclonal antibody against the C5 protein which inhibits complement activation. It can be used in PNH to reduce hemolysis and the risk of thrombosis.

Figure 4: Marrow Aspirates in Paroxysmal Nocturnal Hemoglobinuria

Shown is a bone marrow aspirate demonstrating clusters of megaloblastoid erythroid maturation. Note the erythroid nuclear-cytoplasmic asynchrony.

Paroxysmal-Nocturnal-HemoglobinuriaMarrow-Aspirate
#00062638
 
Paroxysmal-Nocturnal-HemoglobinuriaMarrow-Aspirate
#00062637
 
Figure 5: Flow Plots in Paroxysmal Nocturnal Hemoglobinuria

Flow cytometry was performed to identify the PNH clone in the white blood cells. On the left, the granulocytes, monocytes, and lymphocytes are gated using CD15 and side scatter. Of note, the red cells were lysed in this sample. Analysis of the gated granulocytes reveals a large population of dim FLAER and CD24 (arrow) consistent with a PNH clone. FLAER is a fluorescein labeled molecule which binds to GPI anchors on the cell membrane while CD24 is a GPI linked surface protein. Dim expression of these indicates the loss of GPI anchor consistent with a PNH clone. The PNH clone constitutes 97% of all granulocytes.

Paroxysmal-Nocturnal-HemoglobinuriaFlow-Plots
#00062641
 
Paroxysmal-Nocturnal-HemoglobinuriaFlow-Plots
#00062635
 
Figure 6: Flow Plots in Paroxysmal Nocturnal Hemoglobinuria

In this plot (left), CD64 and side scatter are used to gate on the monocytes.

Analysis of the gated monocyte population (right) identifies a significant population of dim CD14 and dim FLAER cells consistent with a PNH clone. CD14 is a GPI linked cell surface protein. The PNH clone constitutes 94% of monocytes.

Paroxysmal-Nocturnal-HemoglobinuriaFlow-Plots
#00062642
 
Paroxysmal-Nocturnal-HemoglobinuriaFlow-Plots
#00062636
 
Figure 7: Flow Plots in Paroxysmal Nocturnal Hemoglobinuria

Shown on the left is a flow cytometry plot where the red cells are not lysed. Red cells are gated using side scatter and forward scatter. On the right, the red cells are separated based on glycophorin expression (Y-axis) used for gating and CD59 expression (X-axis).

The red cells are separated into three types (I-III) based on the amount of the GPI anchored CD59 protein expression. Type I cells have no deficiency in CD59, Type II cells have partial deficiency in CD59 while Type III cells have complete deficiency of CD59 and are consistent with the PNH clone. Any differences in the clone size between the white blood cells and red blood cells may be due to hemolysis or blood transfusions.

 

Often, after episodes of hemolysis, red cell clones are smaller than the white cell clones.

Paroxysmal-Nocturnal-HemoglobinuriaFlow-Plots
#00062644
 
Paroxysmal-Nocturnal-HemoglobinuriaFlow-Plots
#00062643
 
Figure 1: Blood in Paroxysmal Nocturnal Hemoglobinuria

A peripheral blood smear of the patient. On low power (left) red cell agglutination can be appreciated (arrows). High power (right) shows red cells with moderate anisopoikilocytosis and red agglutination.

Paroxysmal-Nocturnal-HemoglobinuriaBlood
#00062632
 
Paroxysmal-Nocturnal-HemoglobinuriaBlood
#00062640
 
Figure 2: H&E in Paroxysmal Nocturnal Hemoglobinuria

Shown is a bone marrow biopsy from the patient. At low power (left) erythroid hyperplasia is present with a cluster of erythroid precursors (arrow). On higher power (right), the erythroids are left shifted with megaloblastoid features.

Paroxysmal-Nocturnal-HemoglobinuriaHE-Low-Power
#00062633
 
Paroxysmal-Nocturnal-HemoglobinuriaHE-High-Power
#00062639
 
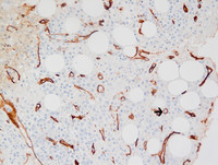
Figure 3: CD34 in Paroxysmal Nocturnal Hemoglobinuria

A bone marrow biopsy with immunohistochemical staining for CD34 highlights scattered CD34 positive blasts (arrow) and blood vessels.

Paroxysmal-Nocturnal-HemoglobinuriaCD34
#00062634
 

Advertisement intended for health care professionals