Advertisement intended for health care professionals

Extracavitary Primary Effusion Lymphoma

Author:  Reva Goldberg; Wei Liu; Amandeep Kaur; Girish Venkataraman, 08/19/2019
Category: Lymphoma: Mature B-cell and Plasma cell Neoplasms > Virus-associated lymphoproliferations > Primary effusion lymphoma
Published Date: 08/20/2019

This is a 62-year-old man who presented with facial swelling and pressure for a few months.  He is HIV positive and is currently on highly active antiretroviral therapy (HAART).  CT scan demonstrated cervical and axillary lymphadenopathy, the largest measuring 2.4 x 2.7 cm.  This neck lymph node was biopsied with a concern for a reactive process versus lymphoma.  Significant systemic symptoms were not present at this time.

The findings depicted in the lymph node below are characteristic of nodal involvement by extracavitary (EC) variant of primary effusion lymphoma (PEL).  The patient was subsequently treated with EPOCH-R and remains in complete remission 3 years after therapy.


Learning points:
1.  Sinusoidal involvement by large plasmablastic cells with regressed Castleman-like follicles is a frequent finding in cases with nodal involvement.
2.  Positivity for plasmacytic markers such as MUM1 along with coinfection by human herpes virus–8 (HHV8/KSHV/LANA1) and EBV encoded early RNA (EBER) supports the diagnosis of PEL.

3. Both Germinotropic LPD and EC-PEL cells are coinfected EBER and HHV8; GLPD arises from a germinal center B-cells while EC-PEL arises from a post germinal center B-cell which has undergone somatic hypermutation. Also, EC-PEL patients invariably have underlying HIV while most GLPD patients do not have HIV.

4. Abnormal cytoplasmic CD3 expression is frequent in these HHV8+ neoplastic processes and hence the combination of CD3 (as seen in this case) and EBER often leads to erroneous misinterpretation as extranodal NK/T-cell lymphoma (ENKTL), EBV+

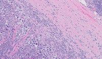
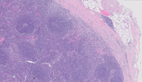
Figure 1: H&E Low Power in Extracavitary Primary Effusion Lymphoma

Low power image (whole slide scan) depicted on the left side shows a lymph node with thin capsule and relatively well-preserved architecture.  At higher power, depicted on the right side, there are scattered regressed secondary lymphoid follicles with some areas of capsular thickening.

Extracavitary-Primary-Effusion-LymphomaHE-Low-Power
#00062660
 
Extracavitary-Primary-Effusion-LymphomaHE-Low-Power
#00062661
 
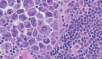
Figure 2: H&E High Power in Extracavitary Primary Effusion Lymphoma

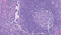
The image on the top left shows capsular sclerosis with subcapsular, sinusoidal infiltrate of discohesive atypical cells within the subcapsular sinus and trabecular sinuses.  The image on the top right depicts reactive secondary lymphoid follicles on the right side with prominent mantle cuffs and adjoining area to the left of it showing clusters of large atypical cells within the sinuses.

The image at the bottom left shows the large atypical cellular clusters within the sinusoids in the parafollicular areas exhibiting anaplastic and plasmablastic/plasmacytic cytomorphology with abundant cytoplasm and variably prominent nucleoli.

There are multifocal collections of these cells throughout the lymph node located exclusively within the subcapsular and interfollicular sinusoidal regions.

Extracavitary-Primary-Effusion-LymphomaHE-High-Power
#00062662
 
Extracavitary-Primary-Effusion-LymphomaHE-High-Power
#00062663
 
Extracavitary-Primary-Effusion-LymphomaHE-High-Power
#00062664
 
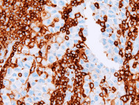
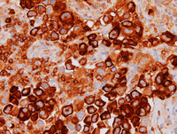
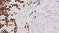
Figure 3: CD20, PAX5, & CD3 in Extracavitary Primary Effusion Lymphoma

The image at the top left shows CD20 immunostain positive in singly scattered small B-cells forming small accumulations on the left side of the image.  The atypical plasmablastic cells on the right side are negative for CD20.  Likewise, PAX5 (image on the right side) highlights small B-cells but the interspersed large plasmablastic cells are negative for PAX5.  Multiple B-cell markers were negative including CD79a and OCT2.

The image of the bottom left depicts CD3 which is strongly positive in the atypical plasmablastic cells.  Despite the expression of CD3, this neoplasm is not a T-cell  lymphoma and this is a pitfall.

Extracavitary-Primary-Effusion-LymphomaCD20
#00062658
 
Extracavitary-Primary-Effusion-LymphomaPAX5
#00062670
 
Extracavitary-Primary-Effusion-LymphomaCD3
#00062657
 
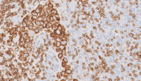
Figure 4: CD45, MUM1, & IgM in Extracavitary Primary Effusion Lymphoma

The large plasmablastic cells are negative for CD45 (top left) but positive for MUM1 (plasmacytic marker) and IgM (bottom left).  CD138, another marker for terminally differentiated plasmacytic cells was negative.  Many immature plasmacytic processes are often negative for CD138 but positive on MUM1.

Kappa and lambda immunostains were both negative however.  CD138, Despite the expression of IgM (also seen in HHV8–related multicentric Castleman disease), the cells in HHV8–MCD are lambda light chain restricted.

Extracavitary-Primary-Effusion-LymphomaCD45
#00062667
 
Extracavitary-Primary-Effusion-LymphomaMUM1
#00062669
 
Extracavitary-Primary-Effusion-LymphomaIgM
#00062668
 
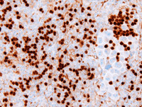
Figure 5: EBER & HHV8 in Extracavitary Primary Effusion Lymphoma

The large plasmablastic cells are positive for EBER (top left) and are also co-infected with HHV8, demonstrating stippled nuclear staining pattern (top right and bottom left).

Extracavitary-Primary-Effusion-LymphomaEBER
#00062659
 
Extracavitary-Primary-Effusion-LymphomaHHV8
#00062665
 
Extracavitary-Primary-Effusion-LymphomaHHV8
#00062666
 

Advertisement intended for health care professionals