Advertisement intended for health care professionals

Follicular Lymphoma, grade 3B

Author:  Girish Venkataraman, MD, MBBS; Reva Goldberg; Sonali M. Smith, 08/20/2019
Category: Lymphoma: Mature B-cell and Plasma cell Neoplasms > Low-grade B-cell lymphoma > Follicular Lymphoma
Published Date: 08/20/2019

This is a 66-year-old male diagnosed with follicular lymphoma with transformation to diffuse large B-cell lymphoma, treated with 6 cycles of R–CHOP, 8 years prior to this biopsy.  At the time of this biopsy, he has diffuse lymphadenopathy involving bilateral axilla, mediastinum and osseous locations.  He was given salvage chemotherapy R-ICE and taken to autologous stem cell transplant.  He remains free of disease at this time.

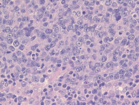
The morphologic findings in the biopsy depicted below are characteristic of follicular lymphoma, grade 3B.  Other areas compatible with transformation were present (not depicted).

Learning points:
1.  Centroblasts exhibit multiple peripheral nucleoli
2.  Sheets of centroblasts seen in this case support designation as grade 3B.

Figure 1: H&E in Nodular Follicular Lymphoma

Low power images at the top demonstrate multiple closely packed monotonous follicular structures which do not resemble reactive follicles.  At higher power inside these follicles (bottom 2 images), numerous large centroblastic cells are apparent.  Scattered small lymphocytes are present for comparison.Scattered mitoses are also easily visualized in the image on the bottom left.

Nodal-Follicular-LymphomaHE-Low-Power
#00062681
 
Nodal-Follicular-LymphomaHE-Low-Power
#00062682
 
Nodal-Follicular-LymphomaHE-High-Power
#00062683
 
Nodal-Follicular-LymphomaHE-High-Power
#00062684
 
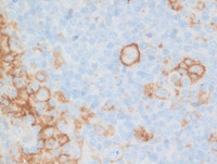
Figure 2: CD20 in Nodular Follicular Lymphoma

CD20 immunostain highlights multiple closely packed serpiginous coalescent follicles.  All neoplastic follicles are positive for CD20. The image on the right demonstrates extra follicular extension of lymphoma cells seen as clusters of CD20 positive cells.

Nodal-Follicular-LymphomaCD20
#00062678
 
Nodal-Follicular-LymphomaCD20
#00062677
 
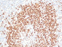
Figure 3: CD10 & BCL-6 in Nodular Follicular Lymphoma

The germinal center markers, CD10 (top left and right) and BCL6 (bottom left and right) are both positive within the neoplastic follicles. The image on the top right shows extra follicular extension of CD10 positive lymphoma cells.  Often, the extra follicular component demonstrates down-regulation of CD10 and or BCL6.

Nodal-Follicular-LymphomaCD10
#00062675
 
Nodal-Follicular-LymphomaCD10
#00062676
 
Nodal-Follicular-LymphomaBCL6
#00062673
 
Nodal-Follicular-LymphomaBCL6
#00062674
 
Figure 4: BCL2 in Nodular Follicular Lymphoma

The neoplastic follicles are also positive for BCL-2 at low power and high-power.  Often, BCL-2 may be negative in high-grade follicular lymphomas

Nodal-Follicular-LymphomaBCL2
#00062671
 
Nodal-Follicular-LymphomaBCL2
#00062672
 
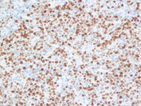
Figure 6: C-Myc & Ki-67 in Nodular Follicular Lymphoma

MYC immunostain is positive in cells at the periphery of the neoplastic follicles.  The neoplastic follicles are strongly positive for Ki-67 with nearly 70% proliferative cells.

Nodal-Follicular-LymphomaCMyc
#00062680
 
Nodal-Follicular-LymphomaKi67
#00062685
 
Nodal-Follicular-LymphomaKi67
#00062686
 
Figure 6: PD-L1 in Nodular Follicular Lymphoma

PD–L1 is negative and the lymphoma cells but highlights positive histiocytes with membrane staining present within the neoplastic follicles and at the periphery of the neoplastic follicles.

Nodal-Follicular-LymphomaPDL1
#00062687
 
Figure 7: CD21 in Nodular Follicular Lymphoma

Numerous CD21 positive follicular dendritic cell meshworks are present within the neoplastic follicles.  This stain is often used to assess for possible areas of transformation which frequently lack underlying CD21 positive meshworks.

Nodal-Follicular-LymphomaCD21
#00062679
 

Advertisement intended for health care professionals