Advertisement intended for health care professionals

A north Indian child with Congenital dyserythropoietic anemia type II

Author:  Reena Das, MD, 11/29/2019
Category: Red Cell: Other Disorders > Congenital Dyserythropoietic Anemias (CDA) > Congenital Dyserythropoietic Anemia, type II
Published Date: 11/29/2019

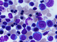
 10-year-old north Indian male presented with pallor, icterus, hemolytic facies and hepatosplenomegaly. He had never received red blood cell transfusions and there was no family history. He had moderate anemia (hemoglobin of 74 g/l). Platelets were adequate and total leukocyte count was normal for the age. The peripheral blood smear evaluation showed mild anisopoikilocytosis, normocytic normochromic red blood cells admixed with microcytic hypochromic cells. Occasional elliptocytes, fragmented cells and polychromasia were noted. Corrected reticulocyte count was 1.14% and there was presence of nucleated red blood cells (5/100 white blood cells) (Figure 1).

Persistently low hemoglobin, pallor since infancy and hepatosplenomegaly instigated the hemolytic workup. Tests for plasma hemoglobin, urine hemoglobin, glucose-6-phosphate dehydrogenase deficiency, hemoglobinopathies/thalassemia, hereditary spherocytosis and pyruvate kinase were within normal limits. Bone marrow evaluation revealed marked erythroid hyperplasia and 22% dyserythropoietic erythroblasts with features consistent with congenital dyserythropoietic anemia (CDA)- type II. The 16% erythroblasts showed multinucleation and 6% showed binucleation which is specific for CDA type II (Figure 2 a and 2b). Eosin-5’-maleimide binding test by flow cytometry revealed decreased mean channel fluorescence. Hereditary erythroblastic multinuclearity with positive acidified serum lysis (HEMPAS) test can be positive. However, HEMPAS test is now available in few laboratories where genetic testing cannot be performed.

For the confirmed diagnosis genetic analysis was done for the exon 12 of SEC23B gene. The NM_006363.4:c.1385A>G (p.Tyr462Cys) is the most prevalent genetic variant found in Indian patients of CDA type II. Sanger sequencing revealed a homozygous missense variant in the index case (Figure 3) and parents were heterozygous for the same.

 

Learning points

1.    Persistent anemia with hemolytic facies and hepatosplenomegaly with inappropriate reticulocyte response can be a clinical indicator of CDA.

2.    If the hemolytic work-up is negative, the presence of nucleated red blood cells and low reticulocyte count are suggestive of CDA.

3.    Bone marrow should be done for the evaluation of CDA features. The presence of primarily binucleated erythroblasts is suggestive of CDA type II. However, multinucleation in erythroblasts can also be seen.

4.    Eosin-5’-maleimide binding test by flow cytometry shows decreased mean channel fluorescence. And may lead to misdiagnosis of hereditary spherocytosis. Osmotic fragility test is usually normal or resistance to lysis is seen in case of CDA and should be done if genetic diagnosis is not available.

5.    Although the HEMPAS test is positive in CDA type II, it has low sensitivity.

6.    Molecular analysis along with bone marrow findings and laboratory findings fulfilling the CDA diagnostic criteria is helpful in diagnosis of CDA.

Figure 1

Peripheral blood smear showing moderate anisopoikilocytosis with nucleated red blood cell.

Figure-1
#00062864
 
Figure 2a

Bone marrow aspirate showing marked erythroid hyperplasia with equal sized binucleate erythroid cells.

Figure-2a
#00062865
 
Figure 2b

Binucleate erythroid cells with megaloblastoid change.

Figure-2b
#00062866
 
Figure 3

Sanger sequencing showing homozygous NM_006363.4:c.1385A>G (p.Tyr462Cys).

Figure-3
#00062867
 

Advertisement intended for health care professionals