Advertisement intended for health care professionals

AML with inv(3)(q21q26.2)

Author:  Elizabeth L. Courville, MD; Gordana Raca, Ph D, 09/23/2015
Category: Myeloid Neoplasms and acute leukemia (WHO 2016) > Acute Myeloid Leukemia > Acute Myeloid Leukemia with recurrent genetic abnormalities > AML with inv(3)(q21q26.2) or t(3;3)(q21;q26.2); GATA2, MECOM
Published Date: 02/25/2016

74 year old female with cytopenias. No prior history of chemotherapy or radiation therapy. Peripheral blood counts: WBC 2.4 with 44% blasts; 8.8 Hgb, MCV 99; Platelets 233 (WNL).

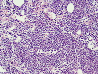
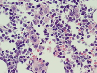
Bone Marrow Aspirate

Representative images of the bone marrow aspirate showing increased blasts (72% by aspirate differential). Dysplastic features were seen in the neutrophil and erythroid lineages. Megakaryocytes include small and hypolobated forms and forms with separated nuclear lobes

AML-with-inv3q21q262-Aspirate-higher-power-view
#00060087
 
AML-with-inv3q21q262-Aspirate-low-power-view
#00060086
 
Bone Marrow Biopsy

The trephine core is hypercellular with sheets of blasts and frequent dysplastic megakaryocytes (small, with hypolobated nuclei). 

AML-with-inv3q21q262-Biopsy-low-power
#00060085
 
AML-with-inv3q21q262-Biopsy-higher-power
#00060084
 
Cytogenetics

Cytogenetics 

AML-with-inv3q21q262-cytogenetics
#00060083
 

Advertisement intended for health care professionals