Advertisement intended for health care professionals

B ALL

Author:  Katherine Calvo, MD, PhD, 01/26/2016
Category: Myeloid Neoplasms and acute leukemia (WHO 2016) > Precursor Lymphoid Neoplasms > B-lymphoblastic leukemia/lymphoma > B-Lymphoblastic Leukemia/Lymphoma, not otherwise specified
Published Date: 01/26/2016
4 year old male with anemia and thrombocytopenia
Peripheral Blood 4 year old male with anemia and thrombocytopenia andblasts on the peripheral smear
B-ALL-CD-34-negative-Peripheral-Blood
#00060367
 
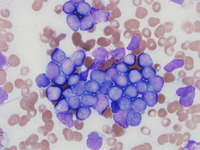
Marrow Aspirate The aspirate was 99% blasts.
B-ALL-CD-34-negative-Aspirate
#00060368
 
Marrow Biopsy Core bone marrow biopsy:  100% cellularity with marrow replaced by blasts
B-ALL-CD-34-negative-Marrow-biopsy
#00060365
 
Special Stains Special stains as shown.
B-ALL-CD-34-negative-Special-Stains
#00060364
 
Flow cytometry
Flow cytometry analysis of the peripheral blood revealed a blast population that was positive CD19 and CD10; largely negative for CD34; and negative for CD45, CD20, CD13, and surface light chains.  Diagnosis:  B lymphoblastic leukemia.
B-ALL-CD-34-negative-Flow-Cytometry
#00060366
 

Advertisement intended for health care professionals