Advertisement intended for health care professionals

B-ALL relapse

Author:  Katherine Calvo, MD, PhD, 01/27/2016
Category: Myeloid Neoplasms and acute leukemia (WHO 2016) > Precursor Lymphoid Neoplasms > B-lymphoblastic leukemia/lymphoma > B-Lymphoblastic Leukemia/Lymphoma, not otherwise specified
Published Date: 07/09/2018


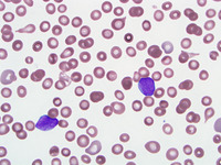
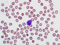
This is a 22-year-old male with history of B-lymphoblastic leukemia presenting with pancytopenia.

Peripheral Blood Smear Blasts were seen on the peripheral smear.
Relapsed-CD-34-ALL-Peripheral-Blood
#00060372
 
Relapsed-CD-34-ALL-Peripheral-Blood
#00060371
 
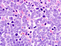
Marrow Aspirate The aspirate shows blasts and very rare normal elements.
Relapsed-CD-34-ALL-Aspirate
#00060370
 
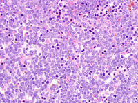
Marrow Biopsy
Normal marrow elements are replaced by blasts with high N:C ratio, fine chromatin,
and inconspicuous nucleoli.   Mitoses are present.
Relapsed-CD-34-ALL-Biopsy
#00060375
 
Relapsed-CD-34-ALL-Biopsy
#00060374
 
Relapsed-CD-34-ALL-Biopsy
#00060373
 
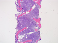
Low power biopsy Bone marrow core biopsy is markedly hypercellular
Relapsed-CD-34-ALL-Biopsy
#00060376
 
Immunohistochemistry stains Immunohistochemistry stains on core biopsy.  The blasts were positive for CD34, CD79a, TdT, and CD10
Relapsed-CD-34-ALL-Special-Stains
#00060369
 

Advertisement intended for health care professionals