Advertisement intended for health care professionals

Refractory cytopenia of childhood, GATA2 deficiency related

Author:  Katherine Calvo, MD, PhD, 02/21/2016
Category: Myeloid Neoplasms and acute leukemia (WHO 2016) > Myelodysplastic Syndromes (MDS) > Refractory cytopenia of childhood (provisional)
Published Date: 02/25/2016

15 y/o male with pancytopenia, severe monocytopenia, B-lymphopenia and NK-lymphopenia.

History of disseminated MAC and warts.   The bone marrow shows a hypocellular

marrow for age with atypical megakaryocytes and no increase in blasts. Cytogenetic analysis of the marrow showed an abnormal karyotype involving  monosomy 7.  DNA sequencing revealed a germline mutation in GATA2. Diagnosis:  Refractory cytopenia of childhood, GATA2 deficiency related.

Peripheral blood

Peripheral blood with hypogranular pelgeroid neutrophil

Refractory-cytopenia-of-childhood-GATA2-deficiency-related-Peripheral-blood
#00060449
 
Aspriate smear

Aspriate smear with atypical megakaryocyte with separated nuclear lobes

(RCC, GATA2 deficiency related).

Refractory-cytopenia-of-childhood-GATA2-deficiency-related--Aspirate
#00060446
 
Bone Marrow

The bone marrow shows a hypocellular

marrow for age with atypical megakaryocytes and no increase in blasts. Cytogenetic analysis of the marrow showed an abnormal karyotype involving  monosomy 7.  DNA sequencing revealed a germline mutation in GATA2. Diagnosis:  Refractory cytopenia of childhood, GATA2 deficiency related.

Refractory-cytopenia-of-childhood-GATA2-deficiency-related
#00060445
 
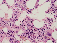
Core Biopsy

Core biopsy showing megakaryocytic atypia with hypolobated forms and a form with separated nuclei.

Refractory-cytopenia-of-childhood-GATA2-deficiency-related-Biopsy
#00060448
 
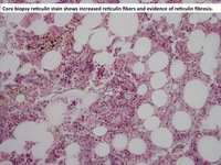
Core biopsy reticulin stain

Core biopsy reticulin stain shows increased reticulin fibers and evidence of reticulin fibrosis

Refractory-cytopenia-of-childhood-GATA2-deficiency-related-Core-biopsy-reticulin-stain
#00060444
 
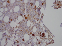
Factor VIIIvw immunohistochemistry stain

Factor VIIIvw immunohistochemistry stain highlights atypical megakaryocytes showing range in size with small mononuclear forms.

Refractory-cytopenia-of-childhood-GATA2-deficiency-related-Factor-VIIIvw-immunohistochemistry-stain
#00060447
 

Advertisement intended for health care professionals