Advertisement intended for health care professionals

Langerhans cell Histiocytosis

Author:  Girish Venkataraman, MD, MBBS, 09/21/2016
Category: Macrophage/Histiocytic and dendritic cell Neoplasms and disorders (2015) > L group > Langerhans cell histiocytosis (LCH)
Published Date: 05/05/2017

This is a 54-year-old female with lymphadenopathy in 2014 at which time this lymph node biopsy was performed demonstrating nodal involvement by Langerhans cell histiocytosis (depicted below). The brain MRI did not show any lesions.   Although  she did not have a bone survey,   this was clinically lymph node limited Langerhans' cell histiocytosis. She also had rheumatoid arthritis for which she is on methotrexate.

The differential diagnosis of nodal LCH also includes dermatopathic lymphadenitis which often shows increased numbers of reactive Langerhans cells within the nodular paracortical areas of hyperplasia. A careful look at the cells including searching for possible melanin pigment, paracortex restricted lesions (without sinus involvement) and correlation with the clinical context (skin lesions) allows distinction of mimicking lesions.

Rarely, LCH-like lesions may coexist with lymphoma in the same node and such proliferations too are likely reactive in nature and do not warrant a concurrent LCH diagnosis.

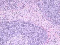
H& E images of node involved by LCH

Figure shows low and high power images of node involved by LCH. The near-exclusive sinusoidal involvement with focal paracortical spilling is typical, recapitulating the normal functional histoanatomical migration pattern of Langerhans cells from extranodal resident tissues to nodal sinuses. Higher power shows the typical grooved and folded nuclear cytomorphology of the lesional cells with a generous sprinking of eosinophils.

Nodal-LCH-HE-images
#00060849
 
Nodal-LCH-HE-images
#00060851
 
Nodal-LCH-HE-images
#00060850
 
Immunostains in LCH

Immunostains depicting S-100, CD1a and Langerin, all of which are positive in LCH lesions cells with near exclusive sinusoidal localization. S-100 is also known to stain interdigitating dendritic cells and Rosai Dorfman histiocytes, while CD1a is more specific to Langerhans cells. Hence, the combination of S-100 (sensitive), Langerin (specific), and CD1a (specific) offer better sensitivity and specificity to a Langerhans cells phenotype.

Notably, the sinus component of LCH expresses high CD1a and Langerin while the paracortical component of the LCH cells often lose both antigens with acquisition of HLA Class II antigens recapitulating the functional transition of Langerhans from antigen capture cells to antigen presenting cells (requiring HLA class II expression) within the nodal microenvironment.

S100-LCH
#00060854
 
CD1a-LCH
#00060852
 
Langerin-LCH
#00060853
 

Advertisement intended for health care professionals