Advertisement intended for health care professionals

Angioimmunoblastic T-cell lymphoma

Author:  Girish Venkataraman, MD, MBBS; Megan Parilla, MD, 05/05/2017
Category: Lymphoma: Mature T and NK cell lymphoproliferations > Mature T-cell Lymphomas > Angioimmunoblastic T-cell Lymphoma and other follicular helper T-cell nodal lymphomas
Published Date: 05/06/2017

This is a 73-year-old female with history of autoimmune hepatitis who developed abdominal pain and fever which led to a biopsy of a lymph node. The patient transferred care to our institution since then. At the same time, a second opinion was sought by the pathologist at the originating institution due to concern for a possible T-cell process.

The case depicted below shows typical histology of angioimmunoblastic T-cell lymphoma (AITL) which now falls within the umbrella of nodal T-cell lymphomas with T-follicular helper (TFH) phenotype category proposed by the 2016 revision of the WHO classification. This broader umbrella category was proposed to include follicular T-cell lymphomas and other nodal PTCL with TFH phenotype which sometimes mimic Hodgkin lymphoma.

Learning points from the case:

1. Hypervascularity and expanded extrafollicular dendritic meshworks allow histologic identification

2. CD10+ T-cells by flow reflect TFH derivation

3. Positivity for TFH markers CD10, PD-1 and CXCL13

4. CD30+/Pax5+ large scattered cells may cause confusion with Classical Hodgkin lymphoma but abnormal T-cell populations and concurrent B-cell and T-cell clones by either flow or PCR allows exclusion of cHL 
 

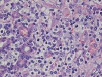
H&E images of AITL

Low, medium and high power images showing replacement of the lymph node architecture by a hypervascular background and atypical lymphoid infiltrate extending into the perinodal adipose tissues. At higher power, the lymphoid infiltrate comprises polymorphous cellular composition including medium sized clear atypical cells associated with background lymphocytes, histiocytes and plasma cells.

AITLHElow
#00061040
 
AITLHEmed
#00061039
 
AITLHEhigh
#00061041
 
B-, T- and dendritic cell meshwork immunostain cytoarchitecture pattern in AITL

CD20 immunostain shows a linear accumulation of CD20 positive small B cells around the subcapsular sinus and in the more central parts of the lymph node, larger CD20 positive immunoblasts are seen admixed with the small B cells. Elsewhere, residual nodular aggregates of reactive lymphoid follicles were noted (not shown here).

CD3 immunostain shows biphasic  immunostaining pattern comprising  CD3 bright normal background T cells  admixed with CD3(dim) atypical/neoplastic T-cells admixed in between the cells. CD23 highlights extrafollicular dendritic cell meshworks around the perivenular areas.

CD20-pattern-AITL
#00061035
 
CD23-FDC-marker-in-AITL
#00061036
 
Aberrant T-cells AITL

CD4, CD5 and CD8 immunostains demonstrating biphasic pattern on CD4 and CD5 immunostains with neoplastic cells demonstrating weak CD4 and moderate CD5 expression compared to the background T cells expressing bright CD4, and CD5. CD8 immunostain at low power demonstrates that the risk CD8 positive cytotoxic lymphoid infiltrate representing reactive cytotoxic cells in response to background EBV coinfection.

AITL-Tcell-stains
#00061033
 
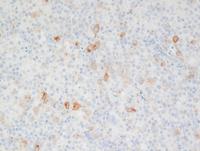
TFH markers in AITL

The neoplastic cells are positive for CD10 (subset). Normally, CD10 typically stains germinal center B cells within nodules of germinal center B-cells. In addition neutrophils stain brightly with CD10 (internal high positive control). In this case, there are increased numbers of CD10 positive lymphoid cells outside of the B-cell nodules within paracortical regions and do not exhibit morphology consistent with neutrophils allowing inference that the CD10 positive lymphoid cells correspond to T-cells.

The flow plot highlights CD10 lymphoid cells on the CD5/CD10 plot which are CD19-negative consistent with CD10+ T-cells. Although not depicted here, these T-cells are often surface CD3-negative with a CD4+ consistent with follicular T-helper derivation.

Also, this case shows a small kappa light chain restricted (green) B-cell population. Such clonal B-cell populations are often seen in the context of AITL wherein both B- and T-cell clones might be detected concurrently.

TFH-marker-profile-AITL
#00061034
 
CD10-Tcells-in-AITL
#00061032
 
CD30 and EBV in AITL

CD30 highlights scattered immunoblasts (of B-lineage derivation) while scattered large and small EBV+ cells are noted on the in situ hybridization stain. These EBV+ cells are of B-cell derivation and represent EBV coinfection in the setting of local immunosuppression.

Although scattered CD30+ large cells may cause confounding with Classical Hodgkin lymphoma (CHL), the spectrum of EBV+ cells (small and large) is not in keeping with EBV+ CHL which demonstrates EBV restricted only to the Hodgkin cells.

CD30-immunostain-in-AITL
#00061037
 
EBV-ISH-in-AITL
#00061038
 

Advertisement intended for health care professionals