Advertisement intended for health care professionals

EBV+ Classical Hodgkin lymphoma involving marrow

Author:  Girish Venkataraman, MD, MBBS; Daniel Appelbaum, MD; Kevin Schimdt Tanager, MD, 07/02/2018
Category: Lymphoma: Hodgkin Lymphoma > Classical Hodgkin Lymphoma > Nodular sclerosis subtype
Published Date: 07/09/2018

This is a previously healthy 15-year-old male with persistent fevers, fatigue, and continued weight loss, along with worsening microcytic anemia and transaminitis, with mediastinal mass and lymphadenopathy on CT scan concerning for lymphoma. He had a left cervical lymph node biopsy and concurrent bone marrow biopsy performed. PET scan showed widespread mediastinal, subdiaphragmatic and bone involvement consistent with bulky stage IVB disease. Treatment with ABVE-PC regimen (AHOD 1331; a Randomized Phase 3 Study of Brentuximab Vedotin (SGN-35, IND #117117) for Newly Diagnosed High-Risk Classical Hodgkin Lymphoma (cHL) in Children and Young Adults)

There was histologic evidence of bone marrow and nodal involvement by EBV+ classical Hodgkin lymphoma depicted below. Details of key features on interpretation of stains in classical Hodgkin are listed with the images below.
 

PET scan

PET examination demonstrates extensive enlarged markedly hypermetabolic lymph nodes including throughout the mediastinum (SUV max = 35.1), bilateral supraclavicular, diaphragmatic, abdominal gastrohepatic, celiac, periportal, portacaval, mesenteric, retroperitoneal, and left external iliac chains.

CHL-PET
#00061552
 
CHL involving marrow low power

Low power image of bone marrow core biopsy demonstrating extensive involvement by Hodgkin lymphoma involving the top half of the image in the biopsy. Normally, there is marked architectural distortion in the bone marrow when there is involvement by classical Hodgkin lymphoma.

CHL-Marrow-HE
#00061548
 
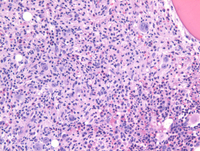
CHL involving marrow, medium and high power

At medium power (left image), scattered large mononuclear (Hodgkin) variants are noted amidst a background rich in histiocytes. At high magnification (image on right), several scattered eosinophils are noted in the background in addition to singly scattered Hodgkin/Reed-Sternberg cells with prominent eosinophilic nucleoli.

CHL-Marrow-HE
#00061549
 
CHL-Marrow-HE
#00061550
 
B-cell markers in CHL

CD20 (image on the left) demonstrates Hodgkin cells that are negative for CD20 with scattered small B cells expressing CD20 in the background. However, Pax-5 immunostain highlights Hodgkin cells with weak Pax-5 expression while scattered small B cells seen on the top left demonstrate moderate Pax-5 expression. The negative CD20 and weak Pax-5 expression is consistent with the down-regulation of the B-cell program in Hodgkin cells.

CHL-Marrow-CD20
#00061545
 
CHL-Marrow-PAX5
#00061551
 
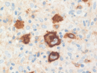
CD30 and CD15 in CHL

The Hodgkin cells are strongly positive for CD30 (image of the left) and focally express CD15 in a cytoplasmic/granular fashion. Also note that the background neutrophils in the bone marrow express strong CD15 while scattered small weakly CD15+ cells are marrow monocytes. Both neutrophils and monocytes serve as internal controls for assessment of CD15 immunostain.

CHL-Marrow-CD30
#00061546
 
CHL-Marrow-CD15
#00061544
 
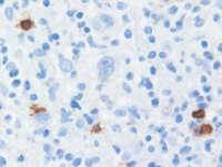
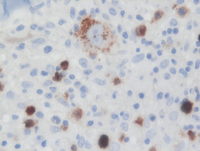
EBV ISH in CHL

On this EBV in situ hybridization stain,only the scattered Hodgkin cells are positive for EBV. This pattern of EBV restricted only to the large neoplastic cells is typical of the pattern expected in classical Hodgkin lymphoma as opposed to EBV-positive diffuse large B-cell lymphoma, not otherwise specified wherein there is a spectrum of EBV+ cells ranging from small to large. This pattern allows the distinction of EBV positive classical Hodgkin lymphoma and EBV+DLBCL, NOS.

CHL-Marrow-EBER
#00061547
 

Advertisement intended for health care professionals