Advertisement intended for health care professionals

AML with biallelic CEBPA mutation

Author:  Girish Venkataraman, MD, MBBS; James Vardiman, MD; Olatoyosi Odenike, MD; Larissa Furtado, MD, 07/09/2018
Category: Myeloid Neoplasms and acute leukemia (WHO 2016) > Acute Myeloid Leukemia > Acute Myeloid Leukemia with recurrent genetic abnormalities > AML with mutated CEBPA
Published Date: 07/09/2018

The patient is a 33-year-old man with relapsed AML following stem cell transplant. He undergoes bone marrow biopsy and aspiration in order to to evaluate disease status prior to initiation of a clinial trial. This was a relapse at day +180 after allogeneic stem cell transplant.

At the time of this marrow biopsy, the white cell count was 1900/uL with low hemoglobin and platelet counts.

The case depicted shows an acute myeloid leukemia with normal karyotype with evidence of biallelic CEBPA mutations and wild type NPM1 and FLT3 at diagnosis in 2010 (4 years prior to this marrow). Molecular studies on a subsequent marrow showed new KITD816V mutations.

Learning points:

The WHO 2017 recognizes three categories of acute myeloid leukemias with underlying recurrent mutations including two entities (AML with mutated NPM1 and AML with biallelic CEBPA mutation) and one provisional entity, AML with mutated RUNX1.

  1. AML with biallelic CEBPA mutation typically exhibit monocytic features/differentiation and reported in 4-9% of childhood and young adult AMLs.
  2. Testing for germline CEBPA mutation is important in such cases as the WHO 2017 also recognizes 'myeloid neoplasms with germline CEBPA mutation' as a distinct entity.
  3. Most biallelic CEBPA-mutated cases exhibit normal karyotype (in 70% of cases) and have a favorable prognosis similar to AML with inversion 16 or t(8;21).
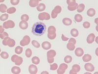
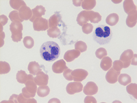
Peripheral blood findings

Examination of the peripheral blood smear showed occasional circulating blasts with monocytic cytomorphology (folded nuclei and blue cytoplasm), noted in the image on the left. The image on the right side demonstrates two neutrophils with obvious dysplastic changes seen in the neutrophil to the right demonstrating abnormal chromatin clumping, nuclear hyperchromasia and and cytoplasmic hypogranularity. The last image demonstrates a dysplastic neutrophil along with a crescent shaped red blood cells to the right of it, consistent with a schistocyte.

AMLCEBPABlood
#00061609
 
AMLCEBPABlood
#00061618
 
AMLCEBPABlood
#00061619
 
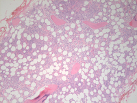
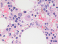
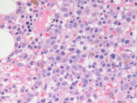
Bone marrow biopsy findings

Bone marrow biopsy demonstrated about 50-60% cellular marrow (otherwise almost normocellular for age) with evidence of an increased mononuclear blastic component percolating throughout the interstitium at higher power (image of the right side).

AMLCEBPA
#00061613
 
AMLCEBPAHE
#00061614
 
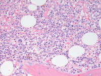
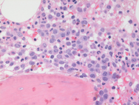
Bone marrow biopsy findings-higher power

Bone marrow biopsy at higher power demonstrates the mononuclear cells with evidence of dispersed chromatin compatible with blasts in the first two images. Paratrabecular clusters of blastic cells around the bone are also noted. The last image demonstrates a single dysplastic hypolobated megakaryocytes in the center of the field.

AMLCEBPAHE
#00061615
 
AMLCEBPAHE
#00061616
 
AMLCEBPAHE
#00061617
 
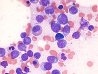
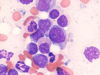
Aspirate smears

There was an increase in the number of blasts (51% of all nucleated cells). The blasts are similar to those in the blood, with rare Auer rods appreciated (not shown). Maturing granulocytic elements are noted, with some displaying hypogranular cytoplasm and hypolobated, hyperchromatic nuclei (noted in the second image).  Erythroid precursors are decreased in number but as in the biopsy, occasional dyspoietic erythroid precursors were also seen (not shown).

AMLCEBPAAspirate
#00061610
 
AMLCEBPAAspirate
#00061611
 
Flow cytometry

Flow cytometry showed blasts comprising 25% of the CD45+ cells. These blasts showed partial expression of CD34 and coexpress myeloid antigens CD33, CD117, CD13 and CD15 with aberrant expression of CD7 and CD56.

Cases with biallelic mutations of CEBPA often express aberrant CD7 and CD15 more frequently (as in this case) compared to cases with monoallelic CEBPA mutations.

No Image is attached in this Figure.

Advertisement intended for health care professionals