Advertisement intended for health care professionals

Splenic marginal zone lymphoma

Author:  Girish Venkataraman, MD, MBBS, 07/19/2018
Category: Lymphoma: Mature B-cell and Plasma cell Neoplasms > Splenic lymphomas > Splenic Marginal Zone Lymphoma
Published Date: 07/19/2018

This is a 58-year-old woman diagnosed with splenic marginal zone lymphoma involving the bone marrow. A few months later, she presented with profound cytopenias from presumed autoimmune hemolytic anemia (AIHA) and was treated with rituximab. She had transient improvement in counts she developed recurrent AIHA with ongoing splenomegaly with FDG avidity. She was started on bendamustine with rituximab in October 2017 with stabilization of AIHA. A splenectomy was performed subsequently.

The biopsy shows features of SMZL after treatment with loss of CD20 expression due to anti CD20 therapy.

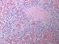
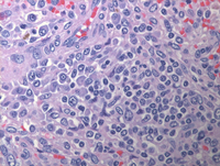
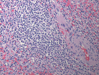
HE images of splenectomy

At low power, multiple discrete white pulp nodules are noted. On higher power these nodules are monotonous with replacement of the white pulp by small to medium sized lymphoid cells with occasional plasmacytoid cells.

Splenic-marginal-zone-lymphomaHE
#00061752
 
Splenic-marginal-zone-lymphomaHE
#00061753
 
Splenic-marginal-zone-lymphomaHE
#00061754
 
Splenic-marginal-zone-lymphomaHE
#00061755
 
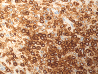
CD20 and CD79a IHC

As a result of anti--CD20 therapy, CD20 immunostain (first image) is negative. However CD79a immunostain is strongly positive in all receptors at low power as well as that high-power confirming B-cell lineage.

Splenic-marginal-zone-lymphomaCD20
#00061749
 
Splenic-marginal-zone-lymphomaCD79a
#00061750
 
Splenic-marginal-zone-lymphoma
#00061751
 
BCL2 immunostain

The nodular B-cell clusters are positive for BCL-2 (bright) which additionally highlights background T cells.

Splenic-marginal-zone-lymphomaBCL2
#00061748
 
Kappa/lambda

Kappa and lambda in situ hybridization stains demonstrate that there is marked prominence of kappa light chain positive plasmacytic cells compared to lambda light chain stain indicating presence of kappa light chain restricted plasmacytic population allowing inference of clonality.

Additional flow cytometry showed that the CD19+ B cells comprise of only 1.55% of living cells with an exclusive Kappa light chain expression consistent with the ISH data.

Splenic-marginal-zone-lymphomaKappa-ISH
#00061757
 
Splenic-marginal-zone-lymphomaLambda-ISH
#00061758
 

Advertisement intended for health care professionals