Advertisement intended for health care professionals

Histiocytic sarcoma in patient with prior B-Lymphoblastic leukemia

Author:  Vignesh Shanmugam, MD; Jyothi Jagannathan, MD; Elizabeth Morgan, MD, 08/22/2018
Category: Macrophage/Histiocytic and dendritic cell Neoplasms and disorders (2015) > M group > Primary Malignant Histiocytosis
Published Date: 08/22/2018

A previously healthy 39-year-old man presented with progressive abdominal pain over one week. His past medical history was significant for B-lymphoblastic leukemia, diagnosed when he was 16 years old. He received a 2.5-year course of chemotherapy and has been in complete remission since that time.

He had a CT scan to evaluate these symptoms and was noted to have mesenteric and retroperitoneal lymphadenopathy. A PET-CT showed extensive FDG-avid mesenteric upper abdominal and retroperitoneal adenopathy (Fig. 1A). He subsequently underwent a percutaneous biopsy of one of the mesenteric lymph nodes which was diagnostic of histiocytic sarcoma.

 

Learning points:

  1. Histiocytic sarcoma is an extremely rare malignant neoplasm of presumed myeloid origin that shows morphologic and immunophenotypic characteristics of mature macrophages/histiocytes.
  2. A subset of these neoplasms can arise through clonal evolution of pre-existing hematologic neoplasms such as follicular lymphoma, chronic lymphocytic leukemia/small lymphocytic lymphoma, B-lymphoblastic leukemia (possible in this case) and others.
  3. They exhibit variable outcome with no standardized therapy.
  4. Myeloid sarcoma needs to be considered and excluded in these cases since this is a close differential diagnostic possibility.
Imaging FEG-PET scan

Baseline coronal fused FDG-PET/CT showed intensely FDG-avid lymphadenopathy in retroperitoneum and mesentery.

Histiocytic-sarcomaPET
#00061833
 
Morphology-H&E images

Infiltration of fibroadipose tissue by sheets of large atypical histiocytoid cells with irregular to folded nuclei, vesicular chromatin, small nucleoli and abundant palely eosinophilic cytoplasm. There were highly pleomorphic forms and occasional giant cells. with frequent mitoses.

Histiocytic-sarcomaHE
#00061831
 
Histiocytic-sarcomaHE
#00061832
 
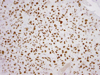
Immunostains CD68, CD163 and PU.1 stains

CD68, CD163 and PU.1 (SPI1) were positive in the tumor cells, whereas CD1a, langerin, S100 protein, CD34, TdT, BRAFV600E and ALK were negative. Lack of CD1a and langerin allows exclusion of a Langerhans cell process while lack of S100 allows exclusion of  Langerhans cell histiocytoses, Rosai-Dorfman disease and other histiocytoses.

Histiocytic-sarcomaCD68
#00061829
 
Histiocytic-sarcomaCD163
#00061830
 
Histiocytic-sarcomaPU1
#00061834
 

Advertisement intended for health care professionals