Advertisement intended for health care professionals

EBV reactivation in older person

Author:  Girish Venkataraman, MD, MBBS; Yanxia Cathy Li, MD; Shiraz Fidai, MD; Kevin Schmidt Tanager, MD, 10/25/2018
Category: Lymph Node and Spleen: Reactive/infectious > Infectious processes > EBV-related reactive lymphoid proliferations > EBV reactivation
Published Date: 10/25/2018

This is a sixty-three year old female with asymmetric tonsillar enlargement. She has no fevers, chills or difficulty swallowing. There are no B. symptoms. Further clinical examination does not reveal any lymphadenopathy. CBC indicates normal study.

The findings below are consistent with EBV-reactivation in an older person.

Learning points:

  1. EBV-related lymphoproliferative processes can show a wide morphologic spectrum ranging from reactive follicular hyperplasia to patchy polymorphous lymphoid infiltrates and overt monomorphic large B-cells.

  2. The current case does not show any sheets of monomorphic large B-cells and hence does not warrant the diagnosis of EBV+ diffuse large B-cell lymphoma, not otherwise specified (WHO 2016).[1] In the absence of any PET evidence of systemic component, these are managed conservatively as EBV reactivation.

REF:

1. Dojcinov SD, Venkataraman G, Pittaluga S, Wlodarska I, Schrager JA, Raffeld M, Hills RK, Jaffe ES. Age-related EBV-associated lymphoproliferative disorders in the Western population: a spectrum of reactive lymphoid hyperplasia and lymphoma. Blood. 2011 May 5;117(18):4726-35.
2: Swerdlow SH, Campo E, Pileri SA, Harris NL, Stein H, Siebert R, Advani R, Ghielmini M, Salles GA, Zelenetz AD, Jaffe ES. The 2016 revision of the World Health Organization classification of lymphoid neoplasms. Blood. 2016 May 19;127(20):2375-90.

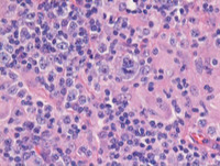
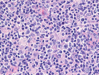
H&E images

Sections from the tonsil shows unremarkable surface epithelium with underlying lymphoid tissue demonstrating destruction of architecture with prominent interfollicular expansion by large clusters and sheets of reactive histiocytes with intervening areas demonstrating plasma cells and occasional immunoblasts. The follicular structures are otherwise morphologically compatible with reactive secondary follicles.

EBV-reactivationHE
#00061942
 
EBV-reactivationHE
#00061944
 
EBV-reactivationHE
#00061943
 
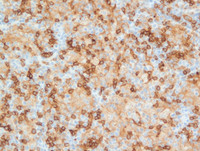
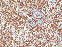
CD20 and CD3 stains

Numerous CD20+ B-cells with only occasional large forms are seen besides numerous reactive paracortical T-cells.

EBV-reactivationCD20
#00061949
 
EBV-reactivationCD3
#00061945
 
CD5

There is weak CD5 coexpression in the mantle zone B-cells while numerous backgound T-cells are noted in CD5. Rarely normal mantle zone B-cells may express CD5 although this phenomenon has been described more often in Castleman disease.

EBV-reactivationCD5
#00061947
 
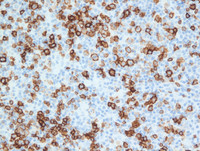
CD4 and CD8

There is preponderance of CD8 T cells over CD4 T-cells. CD4 stain also marks the background histiocytes. There is often expansion of CD8 T-cells in cases of EBV reactivation due to expansion of EBV-specific cytotoxic CD8 T-cells.

EBV-reactivationCD4
#00061946
 
EBV-reactivation
#00061948
 
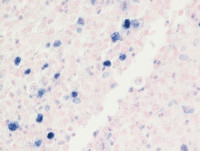
EBER

Numerous varying-sized EBV positive cells are seen in the interfollicular regions on the EBV-ISH.

EBV-reactivationEBER
#00061951
 
EBV-reactivationEBER
#00061952
 

Advertisement intended for health care professionals