Advertisement intended for health care professionals

View by Grid View   List View
Sort by
Total records: 6,580
To download multiple images please select individual images and then click on download images link (max 12 images can be selected).
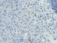
  • CD25 IHC
    Sasan Zandi, MD, ...
    Mastocytosis
Next

Advertisement intended for health care professionals