Advertisement intended for health care professionals

l

HIV-related plasmacytosis - 3.

HIV-related plasmacytosis - 3.
#00003840
Author: John Lazarchick
Category: Underproduction Anemias > Acquired aplastic anemia > Viruses (ALSO LINK TO INFECTIOUS DISEASE SECTION)
Published Date: 12/01/2008

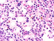
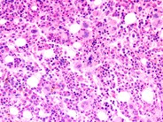
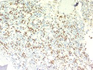
On closer examination, there appears to be a marked increase in plasma cells without evidence of atypia as illustrated in this image. Many of these cells appear to be perivascular inlocation. However, there is no associated lymphocyte population, as is normally seen around blood vessels.


Advertisement intended for health care professionals