Advertisement intended for health care professionals

l

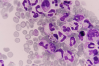
Falciparum-Pigment-laden macrophage

Falciparum-Pigment-laden macrophage
#00061467
Author: Behzad Poopak, DCLS PhD.; Sina Zargaran BSc.
Category: Infectious Disease > Parasites > Malaria > P. falciparum
Published Date: 06/06/2018

Pigment-laden macrophage with pigment-laden band cells and many infected erythrocytes (ring stages) seen.


Advertisement intended for health care professionals