Advertisement intended for health care professionals

l

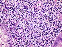
Indolent T-cell Lymphoproliferative Disorder: H&E High Power

Indolent T-cell Lymphoproliferative Disorder: H&E High Power
#00062882
Author: Jay Mehta; Anita Borges
Category: Lymphoma: Mature T and NK cell lymphoproliferations
Published Date: 12/02/2019

See reference case "Indolent T-cell Lymphoproliferative Disorder" for details. 

Advertisement intended for health care professionals