Advertisement intended for health care professionals

l

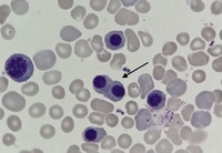
Mitosis in a bone marrow aspirate-4

Mitosis in a bone marrow aspirate-4
#00063693
Author: Perla Vicari, MD, PhD
Category: Laboratory Hematology
Published Date: 08/31/2021

Mitosis consists of four basic phases: prophase, metaphase, anaphase, and telophase. Bone marrow aspirate showing a mitotic figure in telophase: At each pole of the cell, a new nucleus and single cell then compresses in the middle to form two separate daughter cells. This process is known as cytokinesis (arrow); Wright-Giemsa stain.

Advertisement intended for health care professionals