Advertisement intended for health care professionals

l

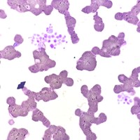
WBC Clumping

WBC Clumping
#00064355
Author: Dr. vasanthakumari.M
Category: Infectious Disease > Bacteria
Published Date: 03/20/2023

Peripheral blood smear of a patient with scrub typhus (IgM+) showing white blood cell clumping.


Advertisement intended for health care professionals